「ご納得いただける治療」を行います。
当クリニックでは医師が勝手に判断をして、治療方法を決定・行うのではなく、
治療方法・治療費用をきちんとご説明をして、患者様に一番ご納得のいただける治療方法を行ってまいります。
担当医が親切丁寧に対応をしておりますので、治療内容にご不明な点などございましたら何でもご相談して下さい。

わかば総合歯科にいただき受付後に問診表をご記入いただいております。
現在のお口の状況やお体の具合などを出来るだけ詳しくご記入下さい。
その後、医師によるカウンセリングを行いますので、治療方法に対するご要望・ご不安などざいましたら、何でもご相談して下さい。
なお、土曜・日曜などは患者様が多くなる事もございますので、来院前にご予約していただくと診察がスムーズに進みます。

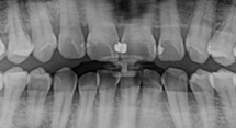
歯と口の中の状態を正確に把握するためにデジタルパノラマレントゲンや口腔内カメラなどを完備しております。
レントゲンなどで表面からは見えない治療箇所も把握できますので、正確で無駄のない治療を行えます。

治療の必要な箇所をご一緒に確認をしながら、治療する箇所の順番・具体的な治療方法を打ち合わせさせていただきます。
当クリニックでは患者様に各治療方法・治療費用などをきちんとご説明をして、患者様のご要望通りに治療を行ってまいります。
医師が勝手に治療方法などを決めて治療を行う事はありませんので、ご安心下さい。
保険適用内・適用外の幅広い治療に対応をしておりますので、治療に関するご要望などありましたらお気軽に担当医師にご相談下さい。

患者様のご要望に応じた治療方法で治療を行っていきます。
歯の治療は途中で止めてしまうと患部が悪化してしまう事がありますので、一度始めた治療はきちんと終わるまで通院することをお勧めいたします。
夜は20時まで、土日も診療を行っておりますので、お仕事をされている方も通院がしやすい環境を整えております。
※土曜・日曜日は18:00までです。(受付 17:30)

治療が完了した後は、お時間が空いた時に定期的な歯・口のチェック(定期健診)をお勧めしております。
定期的にチェックする事により、治療をした箇所を良い状態に保つ事もでき、他の歯も虫歯の予防や早期の発見が出来ますので、健康的な歯と口の状態を維持できます。