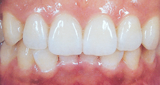
「より美しく、より白い歯」を得る事ができます。

審美歯科とは
歯・口元に関するお悩みを解決する治療の事です。
ただ歯を白くするだけではなく、歯並びや形・噛み合わせなども患者様のご要望に応じて医師が治療を行っていきます。
同じ箇所を治療するにしても治療方法・材質など多くの選択肢があります。
治療を行う前に担当医師が各治療方法の期間・費用のご説明を親切丁寧に行っておりますので、お気軽にご相談して下さい。
当院では審美歯科専門の技工士が補綴物製作を行っておりますので、見た目の自然さと噛み心地の両方を高いレベルでご提供できます。
CAD/CAMシステムで精度の高いCAD/CAM冠を製作します。
当院では「デンタルラボ用多機能CAD/CAMシステム」を使用して、「ハイブリッドセラミックのCAD/CAM冠」の製作と保険治療が可能ですので、お気軽にご相談ください。
これまでの保険治療では銀歯などの金属を使用するしかなかった小臼歯(前歯から4番目と5番目の歯)・大臼歯(前歯から6番目の歯)の被せ物に、歯の色に近い白い被せ物の「ハイブリッドセラミックのCAD/CAM冠」の使用が、健康保険改正により保険適用になりました。
※「CAD/CAM冠」はパソコンとデンタルラボ用多機能CAD/CAMシステムを使用して、コンピューターにより、設計から削り出しを行った歯の被せ物の事です。
※ブリッジでのCAD/CAM冠は保険適応外となります。
※義歯の鈎歯となる場合や咬み合わせの状況によってはCAD/CAM冠の使用が困難な場合がございます。
※詳しくは歯科医師にご相談ください。
「ハイブリッドセラミックのCAD/CAM冠」を使用するメリット
金属を使用しないので、金属アレルギーの心配もなく、見た目も自分の歯に近い色合いになりますので、これまでの銀歯の治療のよりも目立たないなどの多くのメリットがあります。

保険適用外の箇所への「ハイブリッドセラミックのCAD/CAM冠」の使用に関しましても、患者様に出来るだけご負担を掛けずにご提供できるようにしておりますのでご相談ください。
保険改正に関する重要なお知らせ
2017年12月の保険改正によって健康保険適用で金属アレルギーでない方も奥歯に「白い被せ物」が使用ができる場合がありますので、詳しい内容は診察の際に医師にご相談してください。
2016年4月の保険改正のお知らせ
金属アレルギーの方に限り、大臼歯(前歯から6番目と7番目の歯)の被せ物にも、歯の色に近い白い被せ物の「ハイブリッドセラミックのCAD/CAM冠」の使用が2016年4月の健康保険改正により保険適用になりました。
※金属アレルギーの診断書が必要となります。
オールセラミックについて
前歯の治療におすすめな材質が「セラミック」です。
水の吸収をほとんどしませんので、長期間変色を防ぐ事が可能です。
しかも色の再現性に優れていますので、周りの歯の色との違和感を最小限に抑え自然な仕上がりを実現できます。
金属は使用していませんので、金属アレルギーもありません。
【 e-max 】

【 ジルコニア(人工ダイヤモンド) 】
メタルボンドクラウンについて
メタルに陶材を焼き付けたもので、見た目も自然でほとんどの治療内容で使用が可能です。
まれに金属アレルギーを起こす方がいらっしゃいますので、その際は医師にご相談下さい。
セラミックインレーについて
奥歯に装着した銀歯などが気になる方にお勧めの治療方法です。
自然な歯の色を再現でき、金属を使用していませんので、金属アレルギーの方も安心です。
ラミネートベニヤについて
セラミックのシェルを歯の表面に貼り付ける治療方法です。
歯の間の隙間が気になる方や前歯の何本かが内側に入っている場合の方にお勧め治療方法です。
最大のメリットは歯を削る量がわずかで済む事です。
【 ラミネートベニヤ 】